请教医生朋友们!!
人气:
【字体:大 中 小】
发布时间:2007-08-19 14:39:17
>>>>>>>>提问我有多囊肾,有医生说是遗传性的,也有说多囊肾不属于遗传病,但是我妈妈还有我妈妈的太姥姥都得过这个病,我想知道我的病是遗传病吗?还有就是,从医学角度上讲,遗传病可以算是先天性疾病吗?我得的多囊肾属于医学概念上的先天性疾病吗?因为急需知道这些,很重要,请各位医生朋友帮帮忙!多谢!
>>>>>>>>休闲养生网回答:
多囊肾是先天遗传性疾病,单纯性肾囊肿是后天形成的,囊肿基因必须在外部因素的反复作用下才能发生变化并最终形成囊肿,从而影响人体健康,多囊肾的影像学表现
1.尿路造影:肾影常显著增大,肾盏普遍分离并伸长伴多处边缘光滑的弧形压迹为典型表现。注意肾盂肾盏受压常为多方面的,这是肾盂肾盏夹于多数囊与囊之间的反映,在诊断上有重要意义。后期肾功能严重减退时,肾盂肾盏可显影不良。
休 闲居 编 辑
2.B超表现:显示为双肾增大,轮廓呈波浪状,肾内多个大小不一的圆形液性暗区弥漫性分布于全肾,囊状液性暗区彼此不相通为区别于肾积水的要点。
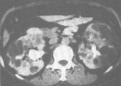
3.CT表现:表现也很典型,肾常显著增大,肾实质内布满多数大小不一的囊伏低密度区,肾盂盏夹于众多囊肿之间,除少数为单侧外,大多为双侧性,诊断容易。多囊肾可并发多囊肝或多囊胰。晚期病例肾实质常显影不良。
4.MR表现:诊断多囊肾原则基本相同,多个大小不等相互靠拢的囊肿在T1加权像上呈低信号,在T2加权像上呈高信号。双肾常明显增大,外形呈分叶状,冠状位可显示整个肾脏布满众多囊肿。少数囊肿T1加权和T2加权均呈高信号,示囊肿有出血。